Группа нидерландских исследователей сообщила об открытии нового органа у центра головы человека - четвертой пары слюнных желез. Если их результаты подтвердятся, это сможет объяснить причину побочных эффектов лучевой терапии при лечении рака.
Об этом говорится в публикации в научном издании Radiotherapy and Oncology.
В учебниках по анатомии утверждается, что в теле человека есть только три большие группы слюнных желез: одна - под языком, вторая - ниже челюсти, а третья - возле ушей. Собственно, так ученые думают уже около 300 лет.
Новую, четвертую группу слюнных желез исследователи из Института рака в Нидерландах обнаружили случайно при поиске клеток рака простаты с помощью сочетания компьютерной томографии и позитрон-эмиссионной томографии - PSMA PET-CT.
Во время сканирования методом PSMA PET-CT врачи вводят в организм пациента радиоактивный "детектор": он обнаруживает белок глутаматкарбоксипептидазу II, или PSMA. Этот белок присутствует в клетках рака простаты и, по совпадению, в ткани слюнных желез.

Фото: Wouter V. Vogel et al. / Radiotherapy and Oncology
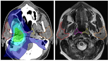
И во время одного из таких сканирований исследователи во главе с онкологом Воутер Фогель обнаружили новую пару слюнных желез длиной около 4 сантиметров в месте, где носовая полость сообщается с глоткой. Это примерно посередине нашей головы.

Фото: Wouter V. Vogel et al. / Radiotherapy and Oncology
Чтобы убедиться, что это не совпадение, ученые проверили результаты PSMA PET-CT еще для 100 пациентов - и обнаружили в них ту же пару слюнных желез. Их же обнаружили и физически - при вскрытии тел двух человек.
Наличие четвертой пары слюнных желез может объяснить побочные эффекты лечения некоторых онкопациентов. Речь идет о лучевую терапию при раке шеи или головы. Во время облучения врачи избегают участков с слюнными железами, ибо их поражения может привести к проблемам с речью или глотанием у пациентов.
А поскольку о новой пару слюнных желез до сих пор не было известно, ее вполне могли случайно облучать, что приводило к возникновению побочных эффектов лучевой терапии.

Фото: Wouter V. Vogel et al. / Radiotherapy and Oncology
Новый орган исследователи предлагают назвать трубноваликовимы слюнными железами, потому что он расположен над трубным валиком - повышением в носовой части глотки, где расположен хрящ слуховой трубы.
Читайте такжеНапомним, что японские ученые разработали систему, способную улавливать коронавирус в дыхании.
Ученые утверждают, что система способна показать результат в течение примерно одного часа.



